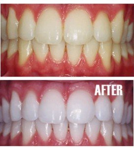
Cine nu isi doreste un zambet de star, cu dintii regulati, de un alb imaculat? Ei bine, sa nu va imaginati ca norocul vedetelor merge atat de departe incat s-au nascut toate cu dintii perfecti. Majoritatea au dat o mana de ajutor naturii purtand in copilarie aparate dentare si apeland regulat la bleaching, o tehnica de albire a dintilor, tot mai des folosita si la noi.
Este o tehnica intr-adevar miraculoasa, care albeste dintii prin aplicarea unor substante oxidante pe suprafata exterioara a dintilor. Exista 2 variante de albire chimica: acasa sau la dentist, dar orice varianta ai alege, trebuie sa te duci intai la dentist. Inainte de bleaching-ul propriu zis, este necesara o curatare foarte serioasa a dintilor, care implica mai multe etape.
In primul rand trebuie stabilit la un control ca nu ai nici o carie.
Stomatologul iti face un detartraj ( adica iti indeparteaza depozitele de tartru cu ajutorul ultrasunetelor).
Urmeaza asa zisul “polish” cu ajutoru caruia se indeparteaza pigmentarile de pe suprafata dintelui ( asta doar daca e cu adevarat nevoie, in cazurile mai grave).
Se fluorizeaza dintii, pentru a-i desensibiliza si proteja in perioada in care se aplica produse care albesc chimic dintii.
Astea sunt in mare etapele de curatare si de pregatire a bleaching-ului.
Daca te hotarasti sa-ti albesti dintii acasa, dentistul iti va face un mulaj al dintilor (gutiere) si iti va da un gel pe care sa-l aplici in mulaj apoi pe dinti. Mulajul se tine pe dinti atat cat spune medicul. Dupa vreo 2 saptamani rezultatele se fac vizibile. Dezavantajul este ca apare o sensibilitate a dintilor, insa e absolut suportabila.
Daca iti albesti dintii in cabinet, n-ai nevoie de mulaj, rezultatele apar mai repede si scapi si de sensibilitatea dentara. Ai grija de dantura ta, pentru ca un zambet stralucitor te va face stralucitoare.




























